851 S. Main St., Greenville, MS 38701

Smile Gallery

The image shows a close-up of a person s mouth with yellowish teeth, some of which are missing, and a partial smile revealing a mix of natural and artificial teeth.

Before

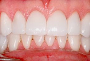
The image shows a person with a radiant smile, displaying a set of straight, white teeth, and the upper lip is slightly curved, revealing a portion of the gums.

After

An extreme close-up of a mouth with teeth showing signs of decay and staining, against a blurred background.

Before

The image shows a close-up view of an individual s teeth with yellowing and staining, indicating possible dental issues or age-related discoloration.

After

The image shows a close-up of a person s smiling face with teeth, featuring a dimple on one cheek.

Before

The image shows a close-up of a person s mouth with teeth showing, wearing lipstick, against a blurred background.

After

The image shows a close-up of a person s teeth with a focus on a dental implant, highlighting its integration into the natural smile.

Before

The image shows a close-up view of a person s teeth with a focus on the lower front teeth, which appear to be white with a slight yellowing near the gum line.

After

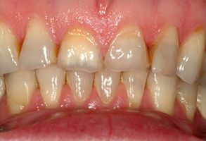
The image shows a close-up view of a person s teeth with visible yellowing and staining, suggesting poor oral hygiene or dental issues.

Before

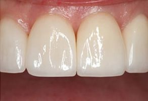
The image shows a close-up view of someone s teeth with white fillings, highlighting dental work done on the upper front teeth.

After

The image shows a close-up view of a person s teeth with a focus on a damaged tooth that has been repaired with a dental implant, accompanied by a gum line and inner oral tissue.

Before

The image shows a close-up view of a person s teeth with a focus on a large gap between two visible front teeth, suggesting a dental issue such as missing or misaligned teeth.

After

The image shows a close-up of a person s mouth with a set of teeth, some of which appear to be discolored or stained, against a background that seems to be a human face, possibly indicating the person is wearing dentures or has a dental implant.

Before

The image shows a close-up view of a person s teeth, with a focus on the lower front teeth which appear to be discolored or stained.

After